Banner NCH-Emden 2
Web Design
Klinikum Emden
Stadt Emden
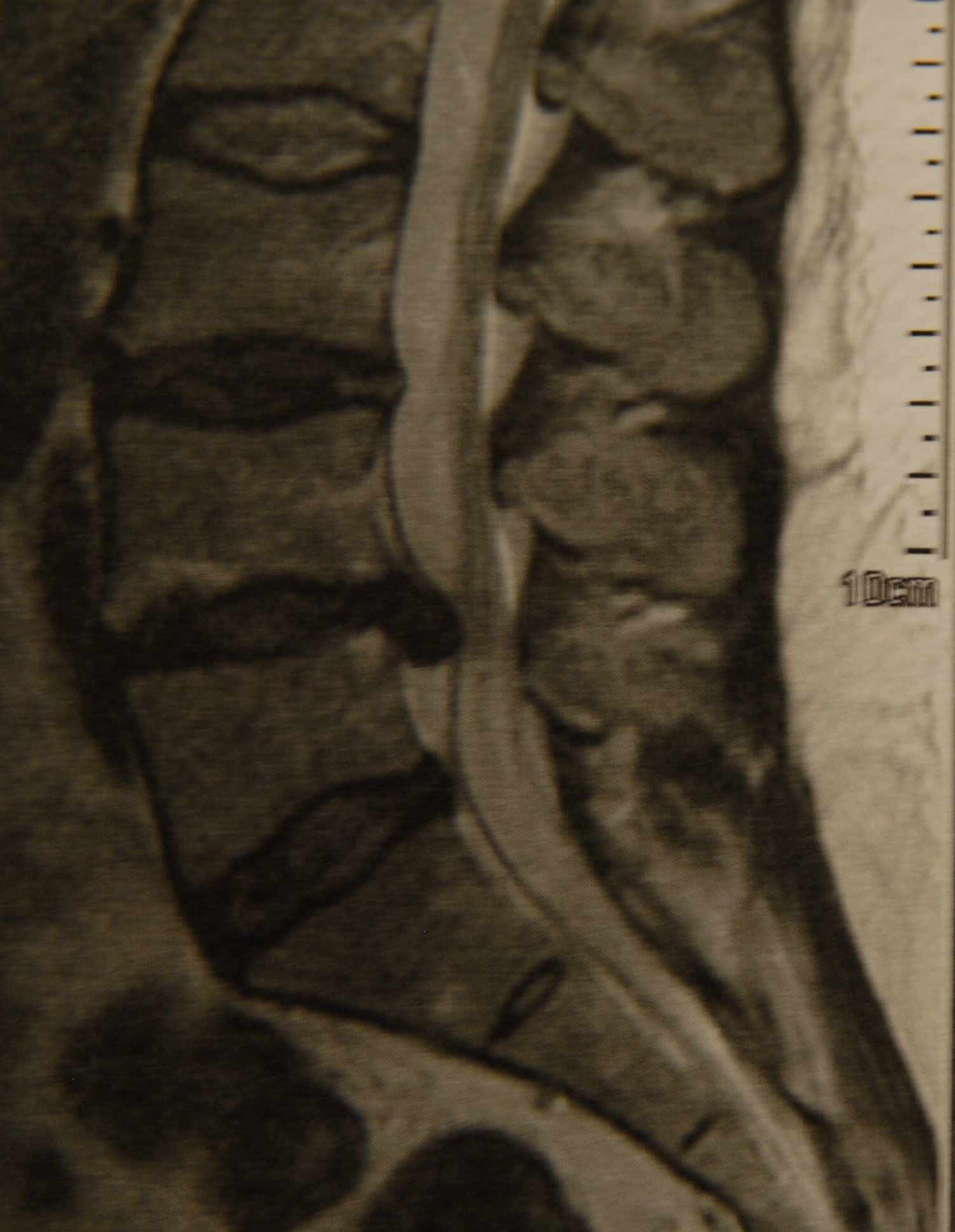
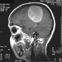
Aneurysma Hirntumor Bandscheibenvorfall

Aufgabe der Neurochirurgie ist die operative Behandlung der somatischen Erkrankungen des Zentralnervensystems und seiner Hüllen. Von Neurochirurgen werden Operationen an Gehirn, Rückenmark, peripheren Nerven sowie Schädel und Wirbelsäule durchgeführt. Solche Eingriffe sind unter anderem erforderlich bei allen Arten von Tumorerkrankungen, Unfallfolgen oder angeborenen Fehlbildungen von Gehirn und Rückenmark. Auch entzündliche Erkrankungen des Zentralnervensystems und spontan auftretende Blutungen infolge von Gefäßmissbildungen (Aneurysmen, Angiome) oder Schlaganfällen gehören zum Aufgabengebiet der Neurochirurgie. Ein weiterer Schwerpunkt ist die Behandlung degenerativer und traumatischer Wirbelsäulenprozesse, hier in erster Linie die Operation von Bandscheibenvorfällen sowie die operative Versorgung von Verletzungen der Wirbelsäule und des Rückenmarks. Nicht zuletzt werden auch Schmerzpatienten (z. B. bei Tumorerkrankungen, Trigeminusneuralgie, usw.) behandelt.

[Home] [Medizinisches] [Die Praxis] [Kontakt] [Impressum]

(c) Dr. J. Janus

Letzte Aktualisierung: 29.03.2017